Best Seller!
Moisturizing Scar Gel helps soften and smooth the appearance of scars. It leaves the skin with a wonderfully smooth, silky feel. It is highly recommended for post surgery care.
The ingredients contained in Moisturizing Scar Gel are documented to help in the repair of scars and tissue-damaged skin:
Panthenol
Panthenol (also known as provitamin B5) is the perfect addition to the Scar Gel because of its ability to aid in tissue repair and increase cell regeneration.
Panthenol is also an excellent, deep penetrating moisturizer.
Some researchers call panthenol ‘the beautifier’ vitamin.
Collaxyl®
Collaxyl®, a trademarked ingredient from France, is a key ingredient in Silicone Scar Gel. This ingredient has a demonstrated effect on skin repair (see below). This ingredient strongly promotes wound healing and reduces the formation of scars.
Allantoin
Allantoin is a gentle healing, moisturizing, soothing and anti-irritating, ingredient used in many cosmetic and dermatological products. Allantoin is a valuable healing agent which stimulates healthy tissue formation. Allantoin has a good skin softening action.
Rosehip Seed Oil
Extracted from the seeds that form in the hips of the wild rose of Chile (Rosa Mosqueta), Rosehip Seed Oil is renowned for its outstanding skin regeneration properties and for minimizing scar tissue.
A group of Italian doctors has been applying it to patients for healing post-operation scars since 1988. The oil has been used to help heal surgical scars and those caused after accidents.
Silicone Blend
Provides an invisible layer of protection on the surface of the skin which allows the scars to heal more rapidly. Also, it allows the ingredients in the Scar Gel to stay in contact with the skin for a longer period of time so they can better exert their action. It leaves the skin with a wonderfully smooth, silky feel.
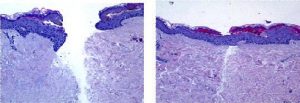
Collaxyl’s® Effect on skin repair

Ex vivo human skin, experimentally wounded
Collaxyl®: 0.5%
Sample culture: 72 hours
Treatment: One single application
Image on the left: Untreated skin
Image on the right: Skin treated with Collaxyl™
Conclusion: Collaxyl® enables complete, rapid epidermal regeneration compared to the untreated skin. A good dermal repair is also observed.
Twice daily, gently massage over scar until absorbed.
Key Ingredients: Collaxyl®, silicone blend, panthanol, allantoin, rosehip seed oil
Most of our stock formula products are available in bulk, packaged in 20 kg. pails. This is a 44 lb. pail or more commonly known as a 5-gallon pail. Purchasing products in bulk will satisfy those clients who wish to customize products by adding unique and popularingredients at their end. Purchasing in bulk also provides clients with associated packaging flexibility and costs savings.
For stock formulas our minimum order is 500 units per product.
Please fill out the contact form on the next page by providing the contact information for your company and the specific product(s) or type of products you are most interested in.